Call : +91 96549 88858

Vinsmiles Advanced Dentistry™

  • Home
  • Our Clinic
  • Treatments
    • Dental Implants
    • Prosthodontics
    • Conservative Dentistry
    • Endodontics
    • Periodontics
    • Oral and Maxillofacial Surgery
    • Orthodontics
    • Smile Designing
    • Full Mouth Rehabilitation
    • Pedodontics
  • Meet our Team
  • Contact Us
  • Blogs
  • Testimonials
Make an Appointment
  • Home
  • Oral Hygiene
  • Archive from category "Oral Hygiene"

Category: Oral Hygiene

Bleeding Gums: Causes, Care & When to Worry

  • 0
Neha
Thursday, 18 September 2025 / Published in Oral Hygiene
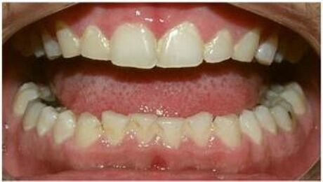
Bleeding Gums: Causes, Care & When to Worry | VIN SMILES GK2 Understand Bleeding Gums: Causes, Care & When to worry….. You brush your teeth in the morning, spit, and suddenly notice blood in the sink. Scary? Yes.Uncommon? Not really. If

Right time to brush your teeth in the morning – Expert tips from South Delhi’s Smile Experts

  • 0
Neha
Saturday, 30 August 2025 / Published in Oral Hygiene
Right time to brush your teeth in the morning - Expert tips from South Delhi's Smile Experts
“Right time to brush your teeth in the morning” – Expert tips from South Delhi’s Smile Experts Most of us grew up hearing: “Brush your teeth as soon as you wake up.” But did you know that brushing after breakfast

Smart Toothbrushes: Are They Worth the Investment?

  • 0
Neha
Monday, 07 April 2025 / Published in Oral Hygiene
Smart toothbrushes promise to revolutionize oral hygiene by offering real-time feedback, tracking brushing habits, and even connecting to smartphone apps for a more personalized dental care experience. But are these high-tech devices truly worth the investment, or are they just

Brush In the Morning After Breakfast…

  • 0
Neha
Thursday, 30 January 2025 / Published in Oral Hygiene
Brush In the Morning After Breakfast… Do you know its healthy to brush your teeth in the morning after breakfast? Most common oral problems with which the patients come to us include bleeding gums, bad breath and sensitivity. It is

BRUXISM

  • 0
Neha
Friday, 26 April 2024 / Published in Oral Hygiene, Uncategorized
Bruxism
                                                                               

THE DIABETES – ORAL HEALTH CONNECTION

  • 0
Neha
Friday, 12 April 2024 / Published in Oral Hygiene, Uncategorized
diabetes and oral health
THE DIABETES – ORAL HEALTH CONNECTION   Many people do not realize the correlation between Diabetes and Oral Health. Diabetes is a disease that can affect the entire body — including the mouth. People who are living with diabetes face

Are you using the Right Tooth Brush?

  • 0
Neha
Thursday, 14 March 2024 / Published in Oral Hygiene
                                                                  Are you using the Right Tooth Brush?

Women’s Oral Health

  • 0
Neha
Sunday, 24 September 2023 / Published in Oral Hygiene
Smile Makeover
Women’s Oral Health Can women’s oral health be affected by the changes in hormone levels? We all know that women’s bodies require special care. Hormone fluctuations not only affect women’s overall health, but also affect oral health, making it more

“HEALTHY GUMS = HEALTHY MOUTH”

  • 0
Neha
Saturday, 16 September 2023 / Published in Oral Hygiene
“HEALTHY GUMS, HEALTHY MOUTH”
“HEALTHY GUMS = HEALTHY MOUTH” Gum health, also known as periodontal health, is a critical aspect of overall oral health. It refers to the condition of the tissues that surround and support your teeth, including the gums (gingiva), the bone

Importance of Oral Health and Its Link to General Health.

  • 0
Neha
Wednesday, 16 August 2023 / Published in Oral Hygiene
Importance of Oral Health and Its Link to General Health. Oral health has long been associated with a dazzling smile and fresh breath. Yet, its importance extends far beyond aesthetics and comfort. A well-maintained oral cavity serves as a gateway
Address
S-303 (Basement), GK 2, New Delhi - 48

Services

  • Dental Implants
  • Prosthodontics
  • Conservative Dentistry
  • Endodontics
  • Periodontics
  • Oral & Maxillofacial Surgery
  • Orthodontics
  • Smile Designing 
  • Full Mouth Rehabilitation
  • Pedodontics

About Us

  • Our Clinic
  • Meet Our Team

Resources

  • Blog
  • Testimonials
  • Terms of Use
  • Privacy Policy
  • Contact Us
TOP