Smile Designing
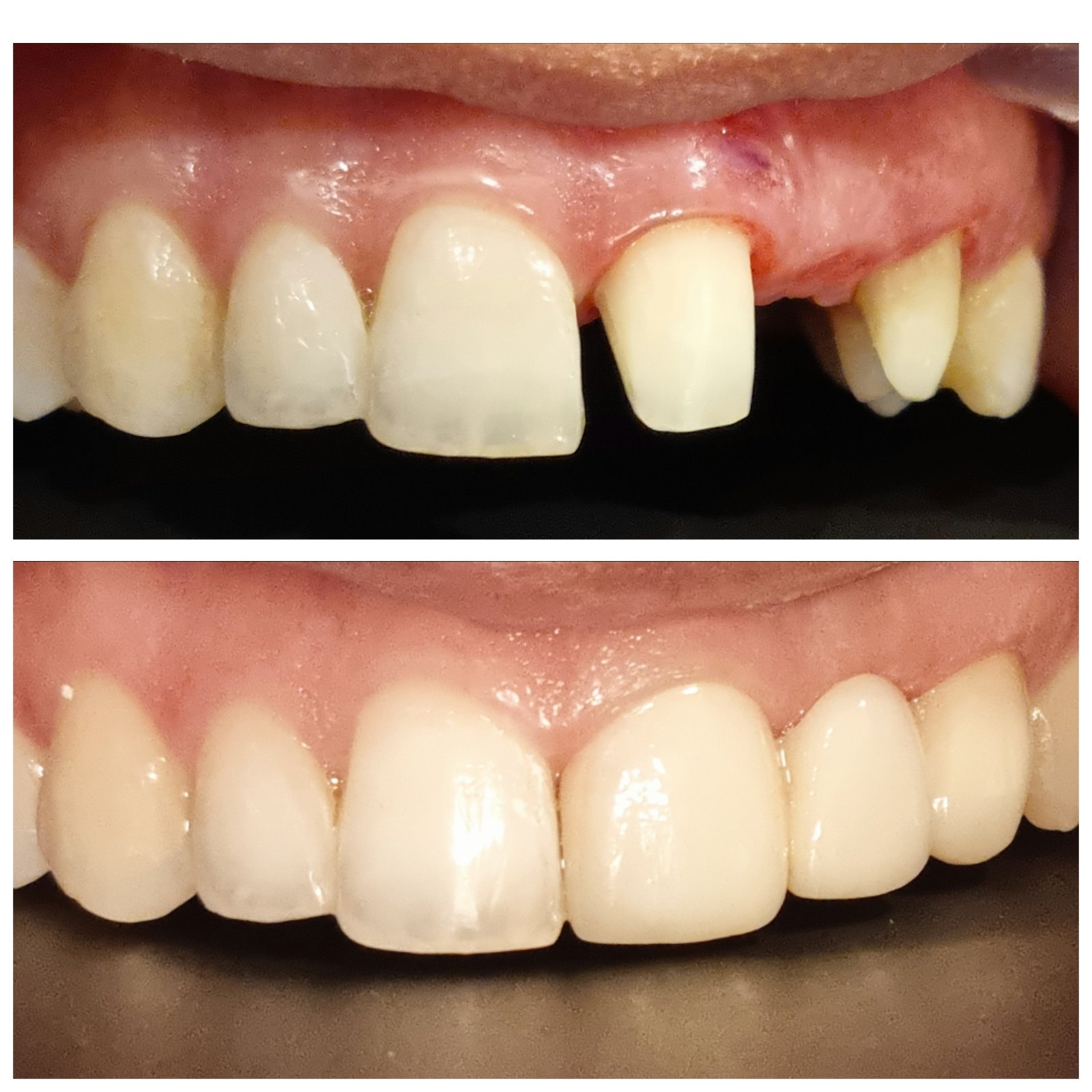
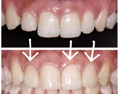
Smile designing, also known as cosmetic dentistry or aesthetic dentistry, is a dental specialty that focuses on improving the appearance of a person's smile. It involves using a variety of techniques to enhance the shape, size, color, and alignment of the teeth to create a more attractive and confident smile.
Some of the common techniques used in smile designing include: Teeth Whitening: This is a procedure that involves the use of bleaching agents to lighten the color of the teeth, resulting in a brighter and more youthful smile. Dental Veneers: Veneers are thin shells made of porcelain or composite resin that are bonded to the front of the teeth to improve their shape, size, and color. Dental Bonding: Bonding is a procedure that involves the use of a tooth-colored resin to fill in gaps, chips, or cracks in the teeth. Gum Contouring: This is a procedure that involves reshaping the gums to improve the appearance of a "gummy" smile or to create a more symmetrical gum line. Orthodontic Treatment: Orthodontic treatment such as braces or clear aligners can be used to straighten crooked or misaligned teeth. Dental Implants: Dental implants can be used to replace missing teeth and restore the appearance of the smile. Smile designing is a highly personalized treatment, and the specific techniques used will depend on the individual patient's needs and goals. A cosmetic dentist will work with the patient to develop a customized treatment plan that will help them achieve their desired smile.
- Digital
- Dental Laminates/ Veneers
- Lumineers
- Emax Crowns
- Tooth Jewelry









