Endodontics
Endodontics is a branch of dentistry that deals with the diagnosis and treatment of dental pulp and the tissues surrounding the roots of the teeth. The dental pulp is the soft tissue inside the tooth that contains nerves, blood vessels, and connective tissue.
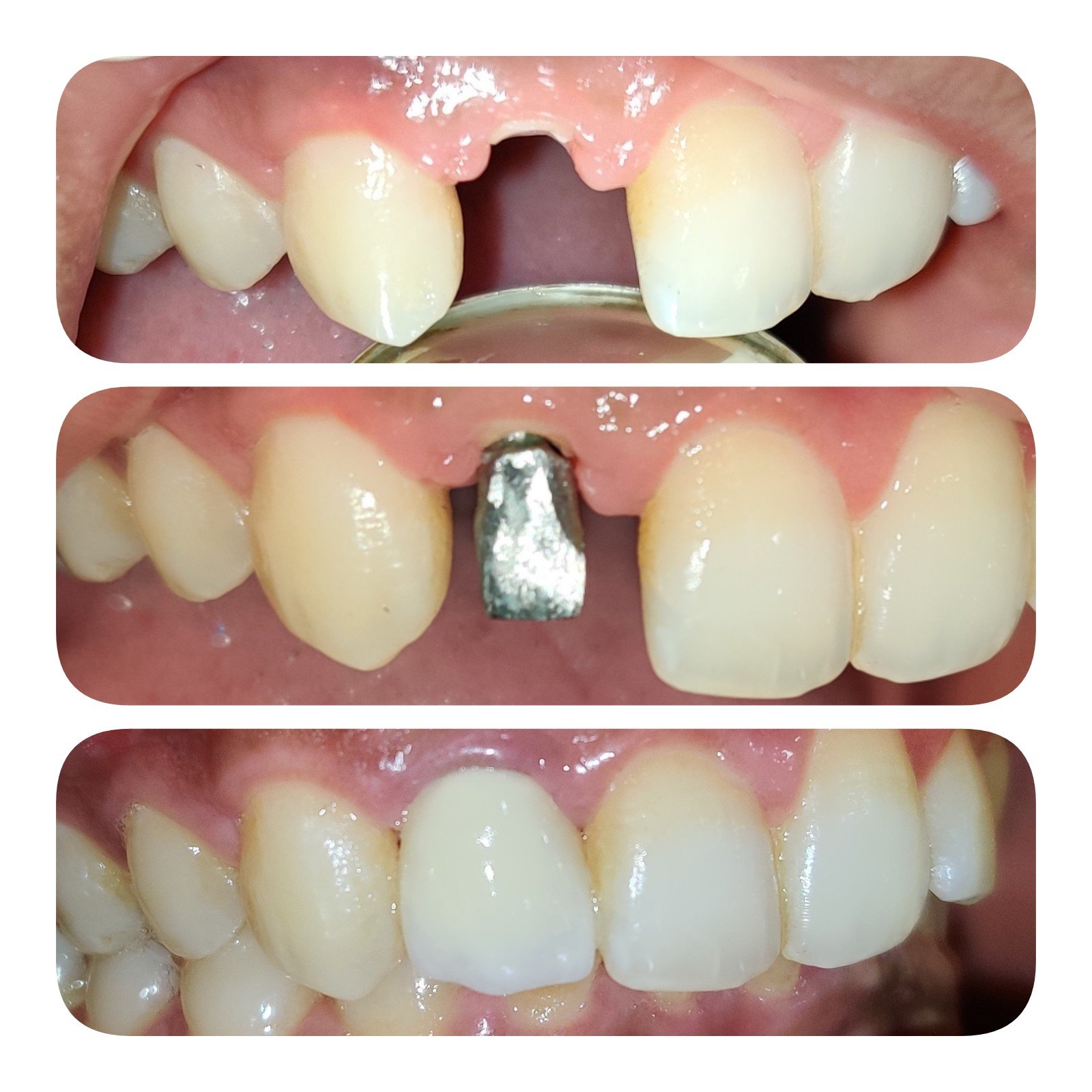
Root canal treatment: RCT stands for Root Canal Treatment, which is a common dental procedure that is performed to save a tooth that has become infected or damaged. The procedure involves removing the infected or damaged pulp from inside the tooth, cleaning the inside of the tooth, and then filling and sealing it to prevent further infection. The pulp of the tooth is the soft tissue inside the tooth that contains nerves, blood vessels, and connective tissue. When the pulp becomes infected or damaged due to decay, trauma, or other factors, it can cause severe pain and other symptoms. In such cases, RCT is the preferred treatment option to save the tooth. The pulp of the tooth is the soft tissue inside the tooth that contains nerves, blood vessels, and connective tissue. When the pulp becomes infected or damaged due to decay, trauma, or other factors, it can cause severe pain and other symptoms. In such cases, RCT is the preferred treatment option to save the tooth. What qualifies a prosthodontist to take on this role? After graduating from college and completing the regular four years of dental school, prosthodontists receive an additional three years of advanced training at a graduate program accredited by the American Dental Association (ADA). Prosthodontists combine this specialized education with countless hours of clinical experience, and can bring their skills to bear on simple or complex restorations. They are one of the nine ADA-recognized dental specialties.
- Root Canal Treatment
- Post and Core Build Ups
- Dental Crowns (PFM,MLS,Metal Free)
- Teeth Whitening Treatments






