Prosthodontics
Prosthodontics is a branch of dentistry that focuses on the diagnosis, treatment planning, rehabilitation, and maintenance of oral function, comfort, appearance
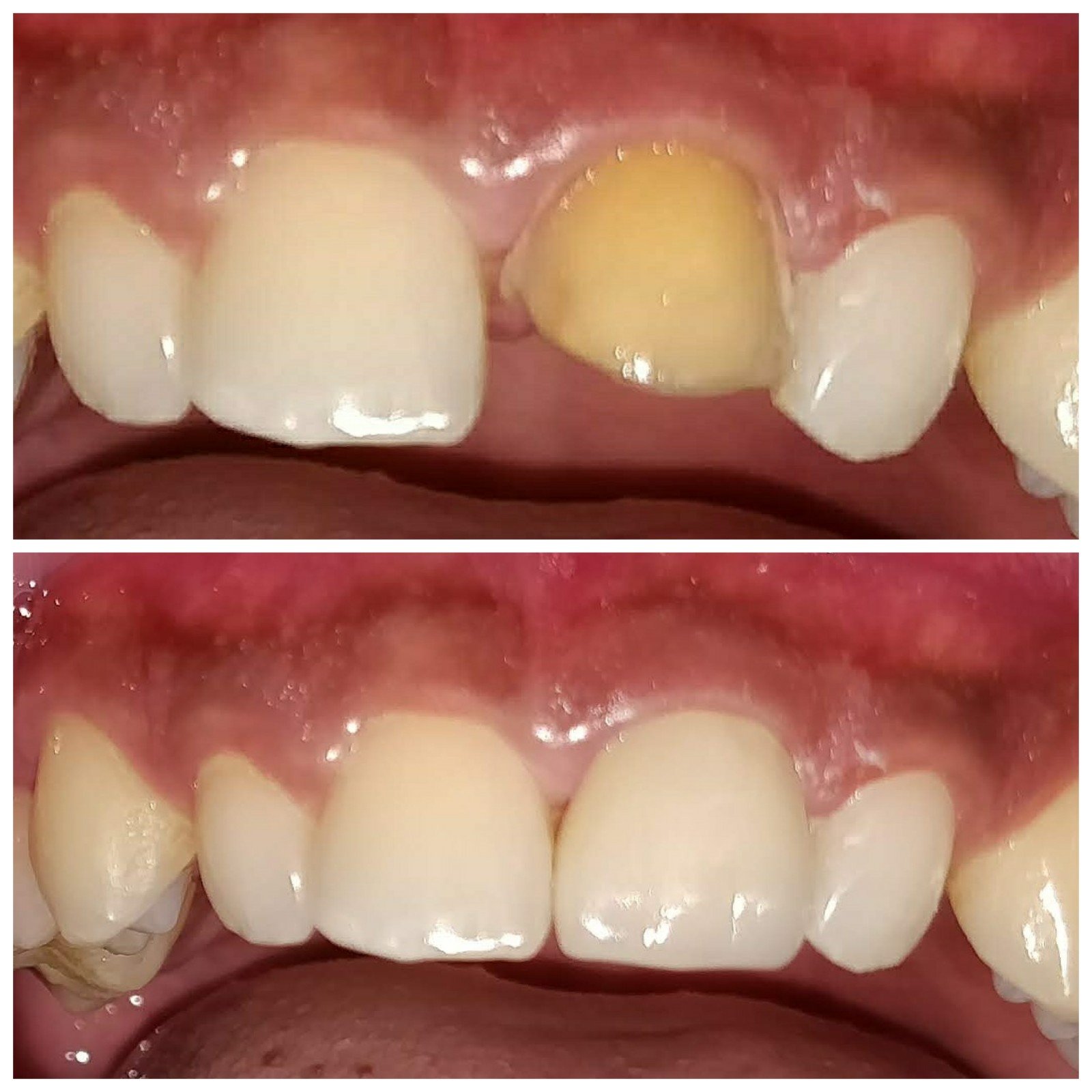
Prosthdontics focuses on health of patients with clinical conditions associated with missing or deficient teeth and/or oral and maxillofacial tissues using artificial substitutes such as dentures, bridges, implants, and other prosthetic devices. Prosthodontists are dental specialists who have completed advanced training and education beyond dental school to master the art and science of prosthodontics. They work closely with other dental specialists, such as oral surgeons, periodontists, and orthodontists, to provide comprehensive and coordinated dental care for patients with complex dental needs.
- Fixed Partial Dentures
- Porcelain/ Ceramic Crowns
- Metal Free Crowns
- Removal Partial Dentures
- Complete Dentures
- BPS Dentures
- Over Dentures








