Orthodontics
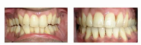
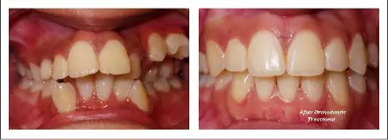
Orthodontics is a specialized branch of dentistry that focuses on the diagnosis, prevention, and treatment of dental and facial irregularities. Orthodontists are trained to correct teeth and jaw alignment problems using a variety of techniques and devices, such as braces, aligners, and other orthodontic appliances.
Orthodontic treatment can be used to correct a wide range of dental and facial problems, including crooked or crowded teeth, overbites, underbites, crossbites, and other alignment issues. Treatment can also be used to address issues such as jaw pain, speech problems, and difficulties with chewing or biting. The orthodontic treatment process typically involves several steps. First, the orthodontist will evaluate the patient's dental and facial structure, take X-rays and other diagnostic images, and develop a treatment plan. The treatment plan may involve the use of braces, aligners, or other orthodontic appliances. Once the treatment plan has been developed, the orthodontist will begin the process of correcting the patient's dental and facial alignment. This may involve the placement of braces or other appliances, which will be adjusted over time to gradually move the teeth and jaw into the correct position. What qualifies a prosthodontist to take on this role? After graduating from college and completing the regular four years of dental school, prosthodontists receive an additional three years of advanced training at a graduate program accredited by the American Dental Association (ADA). Prosthodontists combine this specialized education with countless hours of clinical experience, and can bring their skills to bear on simple or complex restorations. They are one of the nine ADA-recognized dental specialties.
- Occlusal Stents
- Fixed Braces
- Habit Breaking Appliances
- Pre Treatment Trainers
- Habit Breaking Counselling
- Invisalign Treatment
- Clear Aligners








